The detection of Infectious Agents is a crucial component of the TBS Report (The Bethesda System). Its core significance lies in identifying pathogens that may lead to cervical infection, inflammation, or even increase the risk of cervical carcinoma, thereby providing critical evidence for clinical diagnosis, precise treatment, and risk assessment. The TBS reporting system mandates the reporting of six major categories of infectious organisms: Trichomonas vaginalis, Candida (Yeast), Herpes Simplex Virus (HSV), Bacteria, Actinomyces, and Cytomegalovirus (CMV). This article primarily references the book, "Practical Cervical Liquid-Based Cytology Pathological Diagnosis," to summarize the key interpretation points for these six categories.

Figure 1 shows Trichomonads indicated by the red arrow, while perinuclear halos are visible at the green arrow.
① The background often exhibits amphophilic cytoplasmic changes and "moth-eaten" appearing cells, along with perinuclear halos and polymorphonuclear leukocyte balls.
② Cells in the background frequently show inflammatory reactive changes.
③ The organism stains lightly, typically has a short, spindle-shaped, rod-like nucleus that is often eccentrically located, and sometimes minute pink granules can be observed."

Figure 2 shows pseudohyphae indicated by the red arrow.
① The pseudohyphae are eosinophilic.
② Spores are "sesame-seed-like" in shape and appear pale pink/eosinophilic.
③ Occasionally, squamous epithelial cells may be seen adhered together by the pseudohyphae.
Note: If over 20% of slides in the same batch are suspected of having Candida, the possibility of preparation contamination should be considered."

Figure 3: Herpes Simplex Virus (HSV) infection
① Ground-glass appearance of the nuclei;
② Multinucleation, with pronounced chromatin margination, and nuclei molded together in a characteristic "molding" or "mosaic" arrangement.
③ Occasionally, cells with single nuclei may also be observed.

Figure 4: Bacteria coat the squamous epithelial cells, resulting in the morphological change known as Clue Cells.
Note: A threshold of typically 20% of squamous epithelial cells being coated by the bacterial flora is used to report "Shift in flora suggestive of Bacterial Vaginosis."

Figure 5: The organisms typically show a 'cotton-ball' appearance centrally, with peripheral radiating filamentous bacteria.
Note: Correlate with the patient's history, particularly the presence of an Intrauterine Device (IUD).

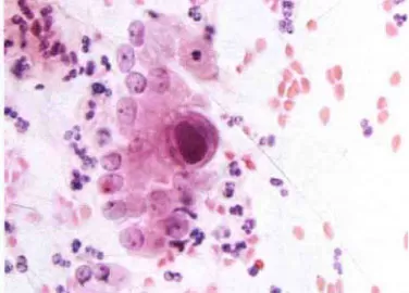
Figure 6: Cytomegalovirus (CMV) (Source: The Bethesda System for Reporting Cervical Cytology, 3rd Edition).
① Cytomegaly and nuclear enlargement.
② Large, eosinophilic intranuclear viral inclusions with a prominent surrounding halo (often described as 'owl's-eye' inclusion).
③ Small, basophilic intracytoplasmic viral inclusions may also be present.